Che cosa sai sui vampiri? Forse risulterà un po’ quasi scontato dirlo ma a noi questi strani personaggi incuriosiscono moltissimo: la loro incredibile dentatura è leggenda! I denti da vampiro sono senza dubbio una caratteristica unica di queste creature su cui ci siamo interessati ad approfondirne loro storia. Di seguito ti raccontiamo cosa abbiamo scoperto.
Categoria: News
Vivi sano: mantieni la tua bocca in salute
Lunedì 20 Marzo si è celebrata la Giornata Mondiale della Salute Orale, promossa dalle associazioni dei dentisti.
Per la prima volta anche nelle piazze italiane si è cercato di sensibilizzare la popolazione a questo tema, ancora sottovalutato da molti.
La salute della nostra bocca, non è solo legata all’estetica del bel sorriso e dei denti bianchi, ma anche a uno stato di salute generale e di benessere di tutto il nostro organismo.
Le malattie del cavo orale possono essere associate al diabete, a malattie cardiovascolari, all’Alzheimer, al cancro al pancreas e alla polmonite.
È importante raggiungere, quindi, una piena consapevolezza dell’importanza del mantenimento della salute orale, per questo ti vogliamo aiutare sfatando i “miti” più diffusi , risultati da un sondaggio della FDI – World Dental Federation condotto coinvolgendo 12 mila persone in diversi paesi: Austria, Brasile, Canada, Egitto, Giappone, Gran Bretania, India, Messico, Nuova Zelanda, Polonia, Stati Uniti, Sud Africa.
3 miti da sfatare sulla salute orale

1) È bene lavarsi i denti subito dopo aver mangiato?
I dentisti raccomandano di aspettare almeno 30 minuti, affinché il pH del cavo orale, divenuto acido a causa della digestione, torni a una situazione di neutralità.
2) Dopo aver lavato i denti con il dentifricio bisogna sciacquare per toglierne i residui dalla bocca
Sbagliato! Meglio sputare senza usare acqua o usandone davvero pochissima. I residui di dentifricio rimasti libereranno fluoro che si legherà allo smalto dei denti, formando una barriera protettiva intorno allo smalto.
3) Meglio i succhi di frutta alle bibite gassate
Errore! I succhi di frutta contengono sempre alte quantità di zuccheri, che facilitano la formazione delle carie, meglio quindi diminuirne l’assunzione.
Ho l’acquolina in bocca: cosa significa e come si verifica questa condizione
Quante volte avrai detto o sentito dire “ho l’acquolina in bocca”, ma ti sei mai chiesto cosa significa e come si verifica questa condizione? Vediamola insieme.
Continue reading “Ho l’acquolina in bocca: cosa significa e come si verifica questa condizione”
Come capire se si ha una carie
La carie è una patologia del dente caratterizzata, nella fase iniziale, dalla distruzione dello smalto. A seconda del suo grado di penetrazione se ne possono distinguere diverse classi. Spesso se se ne viene colpiti, ce ne si può accorgere da soli, altre volte bisogna andare dal dentista (soprattutto se si è nella prima fase).
Ma come si può capire se si ha una carie una volta dal dentista? Semplice, oggi basta una luce!
Come scoprire se si ha una carie? Oggi, basta una luce
Quante volte, andando dal dentista, si è reso necessario sottoporsi a raggi X per valutare la presenza di carie tra dente e dente? Oggi, con Diagnocam, non c’è più bisogno di raggi X, basta utilizzare una piccola telecamera che, attraverso una luce, ci permette di identificare quelle carie che altrimenti non sarebbero invisibili a occhio nudo.
La maggior parte delle carie, ben il 90%, si nasconde all’interno del dente stesso o tra dente e dente, risultando difficile individuarle precocemente e quindi rimuoverle in modo conservativo, preservando maggiore sostanza del dente sano.
Ecco perché risulta importante utilizzare un metodo efficace, poco invasivo e che ci permetta di fare diagnosi in modo precoce.
Diagnocam è una telecamera che ci consente di fare questo: abbraccia il dente e lo illumina, trasmettendo l’immagine sul computer; le zone colpite dalla carie risulteranno essere nere e scure.
Diagnocam ci offre 3 importanti vantaggi:
- Possibilità di controllare i denti senza raggi X e, quindi, di effettuare controlli ravvicinati, oltre che in caso di gravidanza.
- Tempestività: la carie viene individuata precocemente.
- Semplicità e comfort per il paziente.
Capire se si ha una carie non è mai stato così semplice!
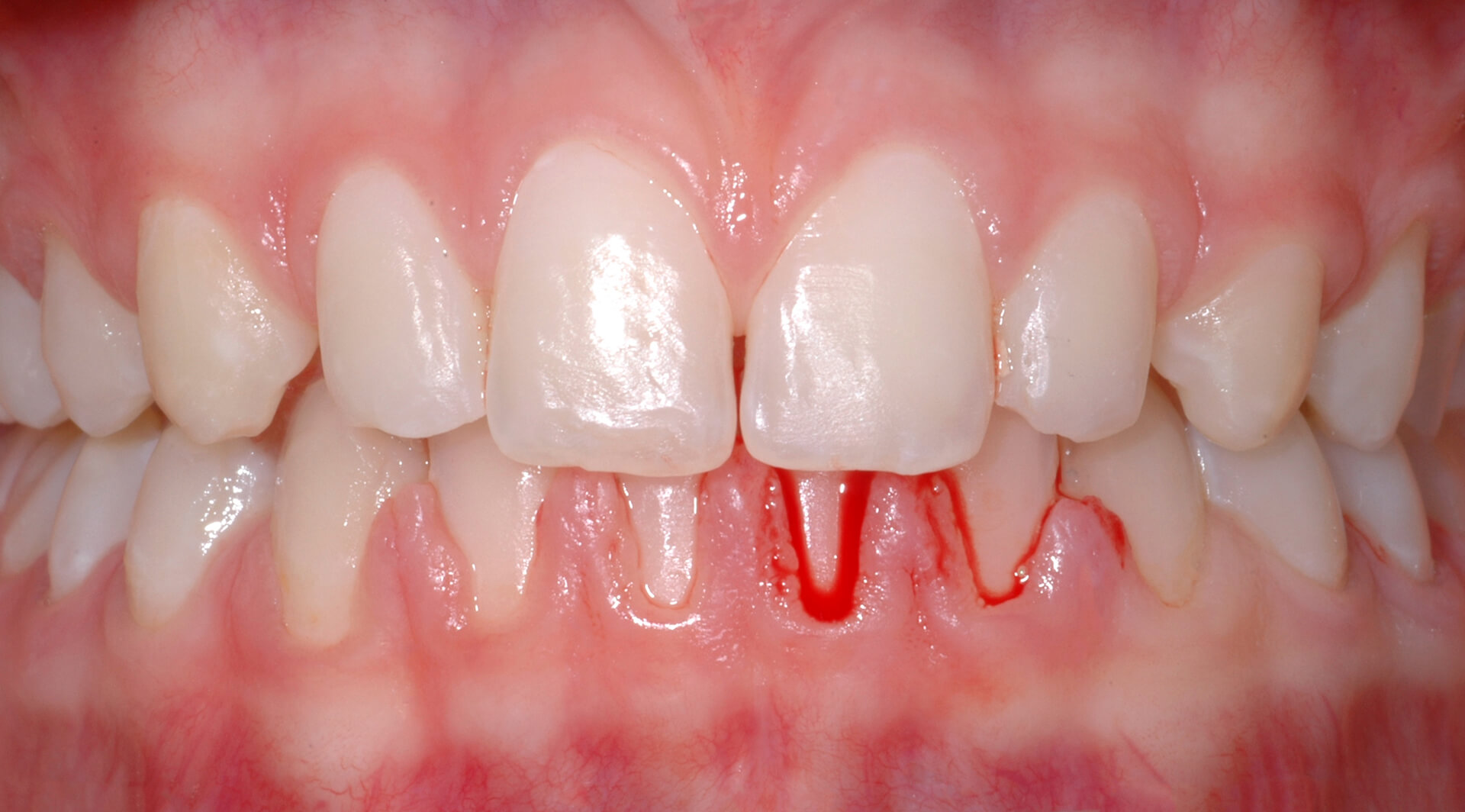
Perché sanguinano le gengive?
Le gengive che sanguinano, ovvero il sanguinamento gengivale, è un fenomeno piuttosto diffuso e dipende da uno stato infiammatorio delle gengive che può essere causato da molteplici fattori. Vediamo quali.
Apnee notturne e patente
Forse non tutti sanno che le apnee notturne sono una condizione che influisce durante i controlli medici per il rilascio e il rinnovo della patente di guida. Ora ti spieghiamo perché.
Giornata mondiale delle gengive sane
Venerdì 12 Maggio 2017 è stata celebrata la Giornata Europea delle Gengive Sane, allo scopo di sensibilizzare le popolazioni riguardo l’importanza della salute del cavo orale.
In Italia per questa giornata e per la seguente, sabato 13, la Società Italiana di Partodontologia SidP, ha organizzato visite gratuite su odontoambulanze, nei comuni interessanti dal sisma nell’agosto scorso.
Sono state coinvolte le città di Norcia, l’Aquila, Civitella del Tronto e Severino Marche al fine di di portare informazioni e supporto alle popolazioni coinvolte nel sisma.
Le persone potevano chiedere uno screening gratuito e una visita specialistica per la diagnosi delle malattie parodontali (gengivite e parodontite) e venivano loro forniti informazioni riguardo l’igiene orale domiciliare corretto, regalando agli stessi pazienti dei kit con tutto l’occorrente per poter mantenere uno stato di salute gengivale: dentifricio, spazzolino, filo interdentale/scovolino e colluttorio.
5 falsi miti da sfatare sui denti
Ci capita spesso di sentirci rivolgere domande dai nostri paziente sui alcuni falsi miti che si leggono sui giornali, su internet o che si sentono in TV, e che si presentano come la soluzione ai nostri problemi della bocca, ma che poi, invece, risultano essere la causa di altri problemi dei nostri denti e gengive. Ecco allora 5 falsi miti da sfatare sui denti.
Nuova location Studio Zini e Associati
È con enorme piacere che presentiamo la nuova sede dello studio Zini e Associati.
Ci troverete operativi in una struttura, moderna e tecnologicamente più avanzata in via Arturo Toscanini 114 a Modena (laterale di via Emilia Est).
Il numero di telefono è rimasto invariato: 059/211131.
Quanto vive un elefante? Dipende dai suoi denti!
Lo sapevi che la lunghezza della vita di un elefante dipende dai denti? Abbiamo indagato un po’ ed ecco cosa abbiamo scoperto.
Continue reading “Quanto vive un elefante? Dipende dai suoi denti!”
Uva passa: importante alleato contro le carie e non solo
La notizia che l’uvetta, la dolcissima uva passa, faccia bene contro la carie ha trovato di recente molto spazio sulla stampa generalista. Vediamo insieme perché
Continue reading “Uva passa: importante alleato contro le carie e non solo”
Alzheimer e la salute della bocca: qual è la relazione?
Lo sapevi che l’Alzheimer e la salute della bocca sono strettamente collegati tra loro?
Continue reading “Alzheimer e la salute della bocca: qual è la relazione?”