I rivelatori di placca: cosa sono e come si usano

Hai mai sentito parlare dei rivelatori di placca? Magari li hai visti usare dal tuo dentista ma non sai di preciso cosa sono. Ecco allora che ti diciamo cosa sono e come si usano.
Colore della lingua e salute

Lo sapevi che la tua lingua indica il tuo stato di salute? Il rapporto tra il colore della lingua e la salute è strettissimo. Se il colore è roseo e uniforme non dovete preoccuparvi, il tuo stato di salute è ok Se, invece, notassi qualche imperfezione allora qualcosa non va. Decifriamo insieme i suoi messaggi.
Donne e salute della bocca

I cambiamenti ormonali ai quali una donna va incontro durante la vita sono innumerevoli. Dalla pubertà alla menopausa gli ormoni femminili variano e portano a cambiamenti anche nella bocca. Gengive, ossa mascellari e denti possono risentirne. Vediamo come.
I vampiri e i loro denti

Che cosa sai sui vampiri? Forse risulterà un po’ quasi scontato dirlo ma a noi questi strani personaggi incuriosiscono moltissimo: la loro incredibile dentatura è leggenda! I denti da vampiro sono senza dubbio una caratteristica unica di queste creature su cui ci siamo interessati ad approfondirne loro storia. Di seguito ti raccontiamo cosa abbiamo scoperto.
Vivi sano: mantieni la tua bocca in salute

Lunedì 20 Marzo si è celebrata la Giornata Mondiale della Salute Orale, promossa dalle associazioni dei dentisti. Per la prima volta anche nelle piazze italiane si è cercato di sensibilizzare la popolazione a questo tema, ancora sottovalutato da molti. La salute della nostra bocca, non è solo legata all’estetica del bel sorriso e dei denti […]
Ho l’acquolina in bocca: cosa significa e come si verifica questa condizione

Quante volte avrai detto o sentito dire “ho l’acquolina in bocca”, ma ti sei mai chiesto cosa significa e come si verifica questa condizione? Vediamola insieme.
Come capire se si ha una carie

La carie è una patologia del dente caratterizzata, nella fase iniziale, dalla distruzione dello smalto. A seconda del suo grado di penetrazione se ne possono distinguere diverse classi. Spesso se se ne viene colpiti, ce ne si può accorgere da soli, altre volte bisogna andare dal dentista (soprattutto se si è nella prima fase). Ma […]
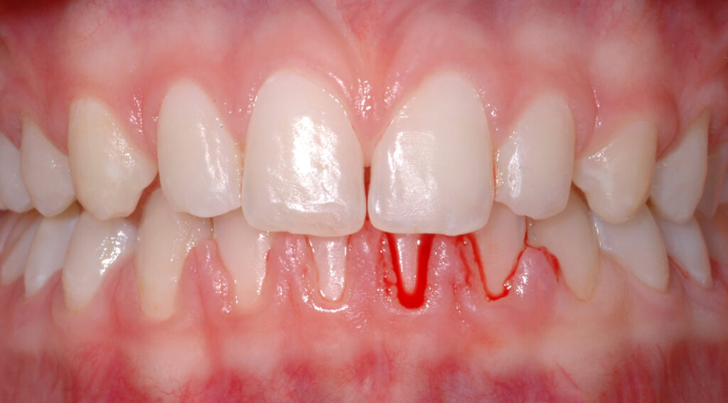
Perché sanguinano le gengive?

Le gengive che sanguinano, ovvero il sanguinamento gengivale, è un fenomeno piuttosto diffuso e dipende da uno stato infiammatorio delle gengive che può essere causato da molteplici fattori. Vediamo quali.
Apnee notturne e patente

Forse non tutti sanno che le apnee notturne sono una condizione che influisce durante i controlli medici per il rilascio e il rinnovo della patente di guida. Ora ti spieghiamo perché.
Giornata mondiale delle gengive sane

Venerdì 12 Maggio 2017 è stata celebrata la Giornata Europea delle Gengive Sane, allo scopo di sensibilizzare le popolazioni riguardo l’importanza della salute del cavo orale. In Italia per questa giornata e per la seguente, sabato 13, la Società Italiana di Partodontologia SidP, ha organizzato visite gratuite su odontoambulanze, nei comuni interessanti dal sisma nell’agosto […]
5 falsi miti da sfatare sui denti

Ci capita spesso di sentirci rivolgere domande dai nostri paziente sui alcuni falsi miti che si leggono sui giornali, su internet o che si sentono in TV, e che si presentano come la soluzione ai nostri problemi della bocca, ma che poi, invece, risultano essere la causa di altri problemi dei nostri denti e gengive. […]
Nuova location Studio Zini e Associati

È con enorme piacere che presentiamo la nuova sede dello studio Zini e Associati. Ci troverete operativi in una struttura, moderna e tecnologicamente più avanzata in via Arturo Toscanini 114 a Modena (laterale di via Emilia Est). Il numero di telefono è rimasto invariato: 059/211131.